PREXION EXCELSIOR ENDO SCANNER
The Evolution of 3D Dental Imaging in a Technology Product
See What Others Can’t with the PreXion Excelsior Endo
Our flagship high resolution tomograph delivers cutting-edge image quality that allows you to visualize structures and nuances beyound traditional CBTC standards. Investing in the Excelsior Endo means offering your patients supeior diagnostics and setting your clinic apart as a leader in dental imaging.
Why choose the PreXion Excelsior Endo?
The powerful system components of the PreXion Excelsior Endo enable an extraordinary combination of the most precise 3D imaging, large image detail, lowest radiation exposure, reliable diagnostics and digital planning for all indications in modern dentistry, including periodontology, endodontics, implantology, orthodontics, maxillofacial surgery and more. Its patient management system is designed for secure and networked communication of patient data across multiple rooms within a practice and can be integrated into the existing infrastructure with ease.
Software Features
With the precision and professional competence of PreXion, dental professionals have a powerful partner at their side.
Multi-data
Load multiple patient scans on a single screen. Synchronize pre- and post-operative scans and detect differences, slice-by-slice.
Patient Education and Presentation
Quickly capture 3D animated video clips for patient education, case acceptance and lecture presentations. Increase case acceptance through better patient understanding.
Collaborative Tools
Automatically save 3D image reports to MS Word template and attach to patient’s practice management record. Collaborate with referring dentists by burning a patient disc with sample viewer. Capture and email images quickly.
Remote Access
Work on cases from home or a satellite office without long connectivity delays. Lead virtual online treatment planning meetings remotely with PreXion3D.
Implant Library
Use our extensive library or customize your own.
Save Scenes
Save your case workup as a scene or create multiple saved scenes with a single scan.
3D Templates
Save time with over 20 pre-made 3D volume rendering templates or customize your own.
Slab and Cutting
Slab Feature allows the clinician to see inside structures while rotating the 3D image. Cut away structures to see exactly what is pertinent to your study.

16 YEARS OF EXPERIENCE
CLEAREST
IMAGES
CLINICAL
ADVISORY BOARD
DISTRIBUTING
PARTNERS
CUSTOMER
SUPPORT
Field of View


5x5cm


9x6cm


9x9cm


14x9cm
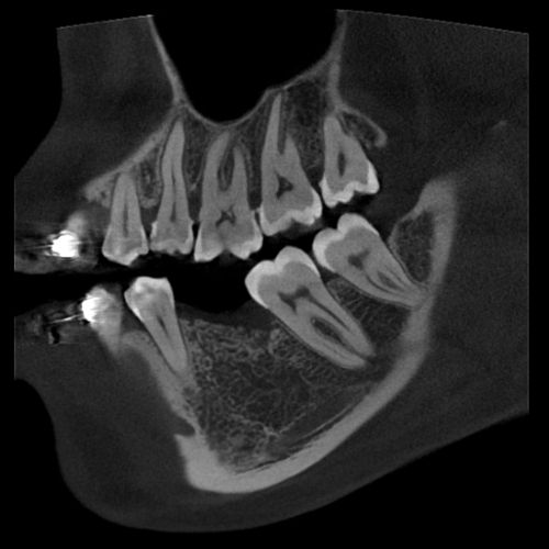
3D Algorithms: Enhancing Your Work-Flow Efficiency and Diagnostic Accuracy
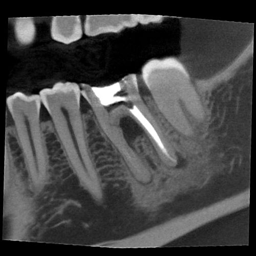
UHD Mode for Endodontics
PreXion Excelsior ENDO has a resolution with Isotropic Voxel of 75μm to 250μm.

Patient Motion Correction (PMC)
The PreXion Excelsior ENDO algorithm automatically corrects the image imperfections caused by patient micro-movements. This ensures high exam quality, avoiding repetitions and offering greater accuracy for making diagnoses.

Metal Artifact Reduction (MAR)
The PreXion Excelsior ENDO line features three processing levels that can be chosen to correct gutta-percha deformities, implants and/or full arch prosthesis and metal restorations, in addition to automatic metal reduction. This tool also allows image reprocessing, for a better diagnosis, preventing the need to generate new exposure to the patient.

What is the Industry Saying?
What is the Industry Saying?
“After looking at the different CBCT units available in the marketplace, we chose PreXion based on the PreXion specifications, low radiation, and state of the art imaging. We are excited to be able to better diagnose periodontal disease and treatment plan for implants. In addition, we were very pleased by the training provided by PreXion which has been vital to help us learn how to use our CBCT to the fullest.”

