PREXION EXCELSIOR ENDO SCANNER
The Evolution of 3D Dental Imaging in a Technology Product
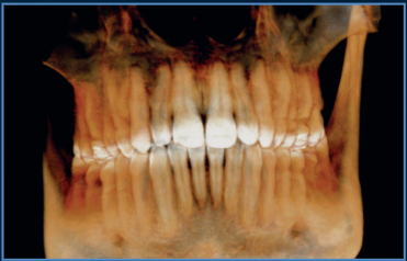
See What Others Can’t with the PreXion Excelsior Endo
Our flagship high resolution tomograph delivers cutting-edge image quality that allows you to visualize anatomy and pathology beyond traditional CBCT standards. This comes from its unique flat panel detector (FPD), which provides an industry-smallest, 0.2mm focal spot. Investing in the Excelsior ENDO mean offering patients superior diagnostics and setting a practice apart as a leader in dental imaging.
Why choose the PreXion Excelsior Endo?
The powerful system components of the PreXion Excelsior Endo enable an extraordinary combination of the most precise 3D imaging, large image detail, lowest radiation exposure, reliable diagnostics and digital planning, which is optimized specifically for endodontic diagnostics and treatment with its flat panel detector (FPD) providing an industry-leading 02.mm focal spot. Its patient management system is designed for secure and networked communication of patient data across multiple rooms within a practice and can be integrated into the existing infrastructure with ease.
Software Features
With the precision and professional competence of PreXion, dental professionals have a powerful partner at their side.
2D Reports
Our 2D Reports feature for panoramic and cephalometric images allows customizable annotations with arrows, circles, and color highlights. It also enables precise implant planning directly on the panoramic view, improving clarity and documentation.
2D Manual and AI Assisted Cephalometry
Our 2D Cephalometry feature allows clinicians to perform cephalometric tracing either manually or with automated landmark detection powered by AI. This accelerates workflows, improves accuracy, and ensures consistent measurements for orthodontic evaluation and treatment planning.
3D Implant Planning
Our implant planning module allows users to mark the mandibular canal and position implant fixtures from an extensive library of real-size systems. Based on the simulation, clinicians can determine ideal implant dimensions, depth, and angulation. Compatible workflows also support the ordering of highly accurate surgical guides.
Airway Volume Measure
The segmentation tool allows users to obtain volumetric data by isolating structures based on density values. It can be used to segment airways, sinuses, the mandible, and teeth, automatically providing corresponding volume measurements.
STL Conversion
Convert DICOM data into STL files for seamless use in CAD/CAM workflows and 3D printing. This tool enables accurate model generation for planning, simulations, and additive manufacturing.
Virtual Endoscopy
By combining CPR (Curved Planar Reformat) with virtual view technology, the software enables virtual endoscopy. Users simply define a navigation path, and the system generates an internal airway view for detailed examination.
DICOM Fusion
The Fusion tool allows users to align and overlay multiple DICOMs for more accurate diagnostics and planning. This unified view enhances anatomical correlation and supports precise clinical decision-making.
3D Reports
The reporting tool offers flexible templates that simplify clinical documentation, allowing users to create custom layouts and drag-and-drop images with ease. Reports can be saved locally or in the database in formats such as HTML, PPT, or PDF.

16 YEARS OF EXPERIENCE
CLEAREST
IMAGES
CLINICAL
ADVISORY BOARD
DISTRIBUTING
PARTNERS
CUSTOMER
SUPPORT
Field of View


5x5cm


9x6cm


9x9cm


14x9cm
3D Algorithms: Enhancing Your Work-Flow Efficiency and Diagnostic Accuracy
UHD Mode for Endodontics
PreXion Excelsior ENDO has outstanding resolution with Isotropic Voxel size as low as 48um.

Patient Motion Correction (PMC)
The PreXion Excelsior ENDO algorithm automatically corrects the image imperfections caused by patient micro-movements. This ensures high exam quality, avoiding repetitions and offering greater accuracy for making diagnoses.

Metal Artifact Reduction (MAR)
The PreXion Excelsior ENDO line features three processing levels that can be chosen to correct gutta-percha deformities, implants and/or full arch prosthesis and metal restorations, in addition to automatic metal reduction. This tool also allows image reprocessing, for a better diagnosis, preventing the need to generate new exposure to the patient.

What is the Industry Saying?
What is the Industry Saying?
“After looking at the different CBCT units available in the marketplace, we chose PreXion based on the PreXion specifications, low radiation, and state of the art imaging. We are excited to be able to better diagnose periodontal disease and treatment plan for implants. In addition, we were very pleased by the training provided by PreXion which has been vital to help us learn how to use our CBCT to the fullest.”
